鼻息肉会给鼻子带来哪些具体危害?南京耳鼻喉科医院

南京耳鼻喉医院哪家好2025-11-11

预约挂号 拨打电话 咨询医生
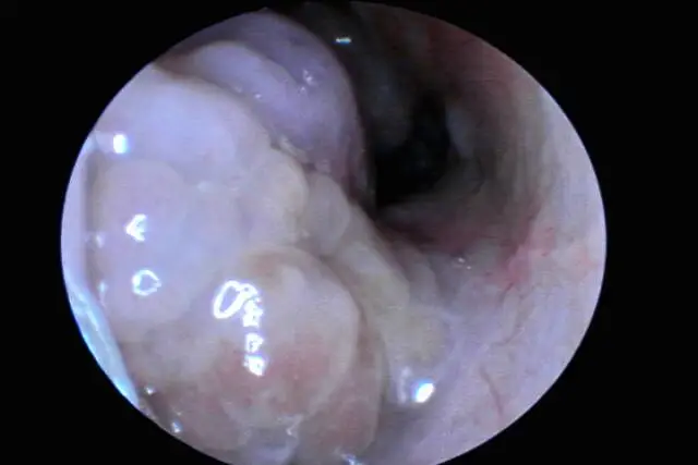
鼻息肉在临床上被定义为鼻腔或鼻窦黏膜上突出的增生性组织团块,其发病群体以成年人为主,儿童与老年人患病概率相对较低。鼻息肉不仅会损害全身健康,更会直接影响鼻部生理功能,引发一系列针对性问题,以下为详细说明:
1.持续性鼻塞,诱发继发鼻部疾病
 
鼻息肉会直接堵塞鼻腔通道,且鼻塞程度与息肉体积正相关——息肉越大,堵塞越严重,从单侧间歇性鼻塞逐渐发展为双侧持续性鼻塞。鼻腔通气受阻后,内外气体交换不畅,会导致鼻腔黏膜长期处于潮湿、缺氧环境,反复受到分泌物刺激,进而诱发或加重鼻炎鼻窦炎等继发性鼻部疾病,形成“堵塞→炎症→息肉增大”的恶性循环。
 
2.嗅觉减退甚至丧失
 
正常嗅觉的产生依赖气流携带气味分子到达鼻腔顶部的嗅觉区域,而鼻息肉引发的严重鼻塞,会阻碍气味分子与嗅觉神经末梢的接触——轻则仅有部分气体能到达嗅觉区,导致嗅觉灵敏度下降,对气味感知模糊;若鼻塞持续加重或息肉直接压迫、损伤嗅觉神经,会导致患者完全无法闻到气味,最终发展为永久性嗅觉丧失。
 
3.鼻部外观肿大,影响面部形态
 
鼻息肉作为鼻腔内的异常增生组织团块,当体积较大或呈多发性生长时,会逐渐向外挤压鼻腔及鼻窦周围组织,导致鼻部外观出现肿大、变形。肿大程度因人而异,主要取决于息肉的大小、数量及生长位置:轻症者可能仅表现为鼻部轻微隆起,重症者则可能出现鼻梁变宽、鼻翼肥大等明显形态改变,影响面部美观。
 
无论是体积较小、症状轻微的鼻息肉,还是已出现明显不适的较大息肉,及时干预治疗都是关键——既能有效延缓息肉生长速度,缓解鼻塞、嗅觉减退等症状,还能降低继发疾病风险,避免对鼻部功能和外观造成不可逆影响。
 
如果您还有其他疑问,或是想获取专业的治疗建议,可点击在线咨询医生,或拨打仁品咨询问诊电话:025-85262032,会有专人为您答疑解惑,网上预约还可享受挂号优惠!
在线咨询 电话预约

连锁品牌

南京 · 成都 · 重庆

门诊时间:8:30 - 17:30(节假日不休)

咨询电话:025-85262032

地址:南京秦淮区中华路528号